STEP1
STEP2
STEP3
STEP4
プランLONG(¥554,400)
BEFORE
AFTER

※効果には個人差があります。
※治療方針:IPRを入れながら前歯部を遠心に移動

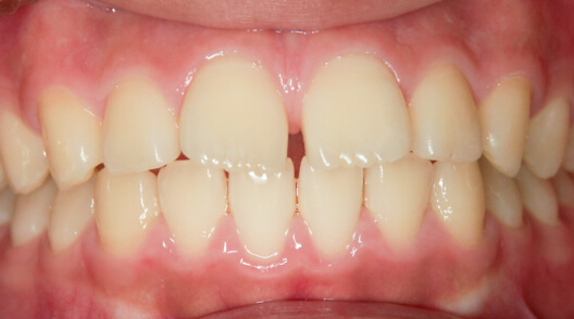
プランLONG(¥554,400)
BEFORE
AFTER

※効果には個人差があります。
※治療方針:IPRを入れながら前歯部を遠心に移動

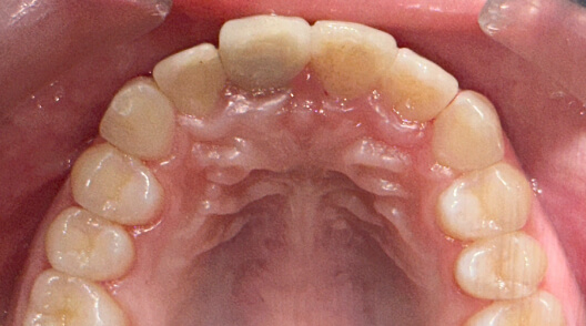
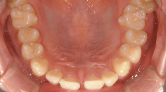
プランLONG(¥554,400)
BEFORE
AFTER

※効果には個人差があります。
※治療方針:IPRを入れながら前歯部を遠心に移動

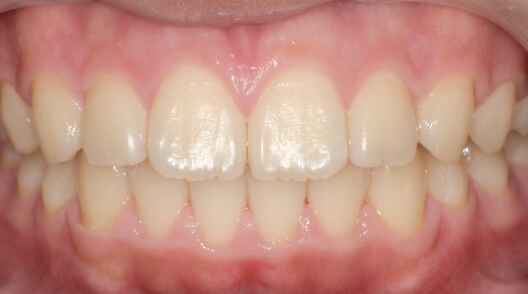
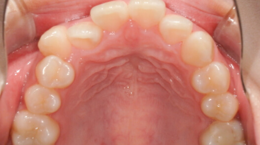
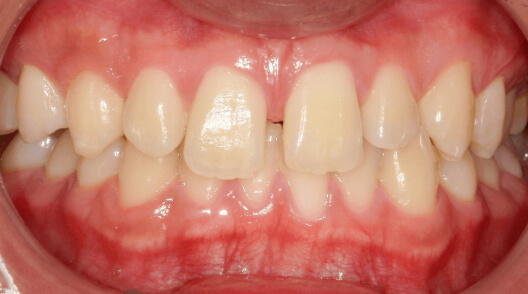
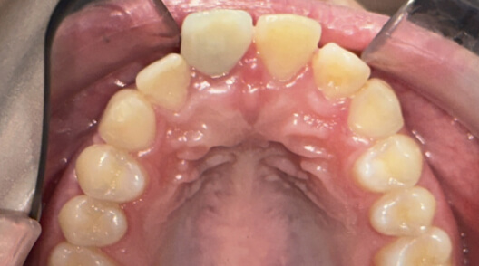
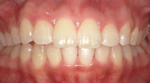
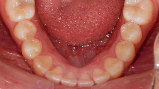
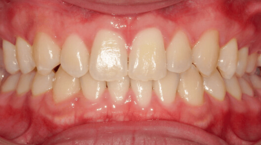
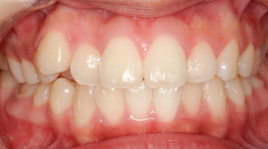
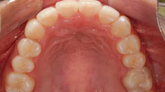
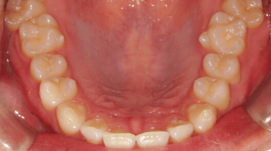
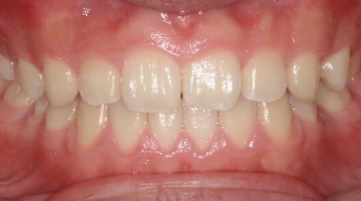
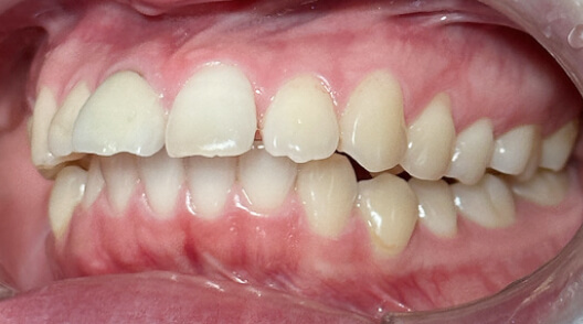
プランLONG(¥554,400)
BEFORE
AFTER

※効果には個人差があります。
※治療方針:アタッチメントを用いた上顎前歯部の前突・八重歯の改善

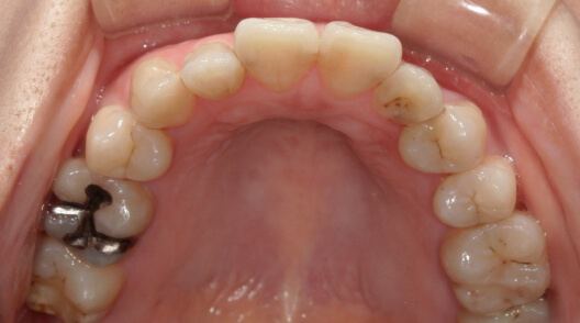
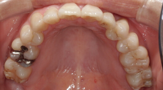
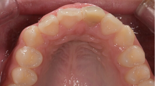
プランLONG(¥554,400)
BEFORE
AFTER

※効果には個人差があります。
※治療方針:口蓋側に傾斜している前歯を外側に出すことで歯並びを整列

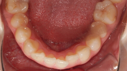
プランSTANDARD(¥429,000)
BEFORE
AFTER

※効果には個人差があります。
※治療方針:アーチを側方に拡大して歯並びを整列

プランSTANDARD(¥429,000)
BEFORE
AFTER

※効果には個人差があります。
※治療方針:アタッチメントを用いた前歯部の空隙の改善

プランSHORT(¥308,000)
BEFORE
AFTER

※効果には個人差があります。
※治療方針:アタッチメントを用いた前歯部の空隙閉鎖

プランSHORT(¥308,000)
BEFORE
AFTER

※効果には個人差があります。
※治療方針:アタッチメントを用いた前歯部の空隙の改善

クリニックはどこにありますか?

現在、DPEARLは提携クリニックを全国エリアに拡大しております。最新のクリニック情報は公式LINEにて随時配信しておりますので、是非ご登録ください。

抜歯等を行うことはありますか?

症例によっては抜歯をおすすめさせていただく場合もございます。

最終判断は患者様にありますので、抜歯をしない治療を希望されることも可能です。

治療中にはどのような処置がありますか?

歯並びを整えるために歯の表面のエナメル質を、やすりをかけるように0.1〜0.5mmほど(フロスがスムーズに入る程度)薄くするディスキングと呼ばれる処置を行う場合があります。

加えて、歯の移動を効率的に行うために、アタッチメントと呼ばれる小さなポッチを歯の表面につけさせていただく場合がございます。ほとんど目立たないですが、審美的に気にされる場合は付けずに治療する計画を立てることもできます。

料金プランはどのようになっていますか?

DPEARLでは、下記のプランをご用意しております。

  • ショートプラン:¥308,000(2〜4ヶ月)
  • スタンダードプラン:¥429,000(4〜6ヶ月)
  • ロングプラン:¥554,400(6〜8ヶ月)
  • ハイブリッドプラン:¥693,000(8〜10ヶ月)

※ 上記の表記は税込です。

どのような支払い方法・支払い回数がありますか?

お支払い方法は、【銀行振込】【カード払い】の2種類をご用意しております。

最大分割回数はプランによって異なりますが、月々¥60,000〜お支払いが可能です。

それ以上の分割をご希望される場合は【デンタルローン】もご利用いただけます。デンタルローンの場合は、月々¥7,000〜お支払いが可能です。

患者様のご希望に応じて分割回数のご相談も可能ですので、公式LINEにご登録いただき是非チャットにてご相談ください。

※銀行振込の場合、振込手数料は患者様のご負担になります。

料金プラン以外に費用が発生することはありますか?

    定期検診の際に、処置がある場合は2,000円程度/処置がない場合は500円程度をお支払いいただきます。
    ※一部の歯科医院では定期診察における料金設定が異なる場合がございます。

    破損・紛失による再製作費用は1枚片顎:6,600円(税込)、両顎:11,000円(税込)です。

    来院時に、歯石取り等の治療代がかかる可能性があります。その場合は、クリニックに直接お支払いいただきます。

マウスピース矯正が完了した後はどうなりますか?

矯正終了後、歯は元の位置に戻ろうとする傾向があります。それを防ぐため、リテーナーと呼ばれる歯の移動を防ぐマウスピースの装着を推奨しております。※リテーナーの費用はプラン料金に含まれています。

最初は日中用と夜用で使い、途中から夜だけに切り替え、装着時間を短くしていきます。

リテーナー料金はかかりますか?

矯正終了後に装着するリテーナーの料金は、プラン料金に含まれております。

お渡しさせていただくリテーナーの枚数はプランごとに異なりますが、追加でご購入いただくことも可能です。

追加でご購入いただく場合の費用は、6,600円(税込)[片顎]11,000円(税込)[両顎]です。

マウスピースを破損・紛失した場合はどうすればよいですか?

破損・紛失等によりマウスピース再製作となった場合、片顎6,600円(税込)、両顎11,000円(税込)お支払いいただきます。

マウスピースを付けたまま食事はできますか?

飲食はマウスピースの変形や破損の恐れがあるため、必ず外してからの食事をお願いしております。

食べかす等が残ったままの装着は不衛生なため、飲食後は歯を磨いてからのマウスピース装着をお願いしております。

マウスピースを付けたまま水などは飲めますか?

水は問題ありません。ただし、下記の飲み物につきましては注意が必要です。

1. コーヒー等、色のついた飲み物
→マウスピースの着色の原因になります。

2. 炭酸飲料や甘い飲み物
→虫歯の原因になる場合があります。

3. 熱い飲み物
→マウスピースが溶けて変形する恐れがあります。

マウスピースは1日にどれくらい装着すればいいですか?

1日18〜20時間以上を目指してご使用いただいております。
また、食事の際や歯磨き以外の時間ははなるべく装着するようにお願いしております。

マウスピースの付け替えペースはどのくらいですか?

基本的には、1週間〜10日間で交換となります。歯科医師の判断によって多少前後する場合がございます。